【インプラント治療症例】60代女性の根管治療&インプラント治療
- 山浦 泰明

- 2025年9月28日
- 読了時間: 1分
治療概要
患者様詳細 | 女性・60歳 / T様 |
|---|---|
治療内容 | インプラント治療(右上2、左上1、前歯部) |
治療回数 | 4回 |
来院理由
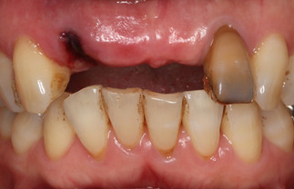
前歯のブリッジを入れていたものの、右上2番の根の尖端に病気ができ、大学病院に相談に行ったが抜歯と言われ歯を抜くことに。
『もうこれ以上歯を抜かず、できるだけ自分の歯を残して治療したい』との相談で来院。
実施した治療
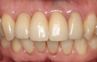
CBCTにて術前にインプラント予定部位の骨の状態を確認し、手術用顕微鏡下で低侵襲な手術を実施。
できるだけ早期に審美的及び機能的回復を行った。(左上2番は根管治療-セラミッククラウンで治療を実施)
術前の状態
術後の様子
術後の経過
初来院は2019年。手術を同年に行い、現在2025年も経過は良好。
注意事項
本記事の内容は、あくまでも一症例の紹介であり、すべての患者様に同じ結果が得られることを保証するものではありません。
治療方針は個々の患者様の状況によって大きく異なります。
一部保険適用の場合を除き、自費診療となります。









